Doac Use In Protein C Deficiency . Few studies have evaluated the use of direct oral anticoagulants (doacs) in patients with. causes of inherited thrombophilia include antithrombin deficiency, deficiencies of proteins c and s, and factor v leiden. for protein c deficiency, the published clinical experience on doac use was generally in line with our results, with. hereditary deficiency of antithrombin iii, protein c and protein s: Prevalence in patients with a history of. this topic review discusses the diagnosis and management of protein c deficiency (inherited and acquired). in this prospective cohort study, we aimed to evaluate the efficacy and safety of direct oral anticoagulants.
from www.mdpi.com
causes of inherited thrombophilia include antithrombin deficiency, deficiencies of proteins c and s, and factor v leiden. Prevalence in patients with a history of. this topic review discusses the diagnosis and management of protein c deficiency (inherited and acquired). hereditary deficiency of antithrombin iii, protein c and protein s: for protein c deficiency, the published clinical experience on doac use was generally in line with our results, with. Few studies have evaluated the use of direct oral anticoagulants (doacs) in patients with. in this prospective cohort study, we aimed to evaluate the efficacy and safety of direct oral anticoagulants.
Dentistry Journal Free FullText New Direct Oral Anticoagulants
Doac Use In Protein C Deficiency in this prospective cohort study, we aimed to evaluate the efficacy and safety of direct oral anticoagulants. in this prospective cohort study, we aimed to evaluate the efficacy and safety of direct oral anticoagulants. for protein c deficiency, the published clinical experience on doac use was generally in line with our results, with. Prevalence in patients with a history of. causes of inherited thrombophilia include antithrombin deficiency, deficiencies of proteins c and s, and factor v leiden. Few studies have evaluated the use of direct oral anticoagulants (doacs) in patients with. hereditary deficiency of antithrombin iii, protein c and protein s: this topic review discusses the diagnosis and management of protein c deficiency (inherited and acquired).
From scvmcmed.com
Protein C Deficiency and Warfarin Induced Skin Necrosis 11/01/2017 Doac Use In Protein C Deficiency causes of inherited thrombophilia include antithrombin deficiency, deficiencies of proteins c and s, and factor v leiden. for protein c deficiency, the published clinical experience on doac use was generally in line with our results, with. hereditary deficiency of antithrombin iii, protein c and protein s: Prevalence in patients with a history of. Few studies have evaluated. Doac Use In Protein C Deficiency.
From www.frontiersin.org
Frontiers The Therapeutic Potential of Anticoagulation in Organ Fibrosis Doac Use In Protein C Deficiency Prevalence in patients with a history of. causes of inherited thrombophilia include antithrombin deficiency, deficiencies of proteins c and s, and factor v leiden. hereditary deficiency of antithrombin iii, protein c and protein s: Few studies have evaluated the use of direct oral anticoagulants (doacs) in patients with. this topic review discusses the diagnosis and management of. Doac Use In Protein C Deficiency.
From www.slideserve.com
PPT Protein C and Protein S Deficiency PowerPoint Presentation, free Doac Use In Protein C Deficiency in this prospective cohort study, we aimed to evaluate the efficacy and safety of direct oral anticoagulants. Prevalence in patients with a history of. Few studies have evaluated the use of direct oral anticoagulants (doacs) in patients with. this topic review discusses the diagnosis and management of protein c deficiency (inherited and acquired). hereditary deficiency of antithrombin. Doac Use In Protein C Deficiency.
From www.pinterest.com.mx
Pin on Diseases & Disorders Infographics Doac Use In Protein C Deficiency for protein c deficiency, the published clinical experience on doac use was generally in line with our results, with. causes of inherited thrombophilia include antithrombin deficiency, deficiencies of proteins c and s, and factor v leiden. this topic review discusses the diagnosis and management of protein c deficiency (inherited and acquired). in this prospective cohort study,. Doac Use In Protein C Deficiency.
From www.rpthjournal.org
Optimization of DOAC management services in a centralized Doac Use In Protein C Deficiency this topic review discusses the diagnosis and management of protein c deficiency (inherited and acquired). hereditary deficiency of antithrombin iii, protein c and protein s: Few studies have evaluated the use of direct oral anticoagulants (doacs) in patients with. Prevalence in patients with a history of. for protein c deficiency, the published clinical experience on doac use. Doac Use In Protein C Deficiency.
From wtd.mikemelli.net
World Thrombosis Day Severe Congenital Protein C Deficiency Doac Use In Protein C Deficiency in this prospective cohort study, we aimed to evaluate the efficacy and safety of direct oral anticoagulants. Few studies have evaluated the use of direct oral anticoagulants (doacs) in patients with. Prevalence in patients with a history of. hereditary deficiency of antithrombin iii, protein c and protein s: for protein c deficiency, the published clinical experience on. Doac Use In Protein C Deficiency.
From www.slideserve.com
PPT Protein C deficiency 25/12/2010 PowerPoint Presentation, free Doac Use In Protein C Deficiency Prevalence in patients with a history of. for protein c deficiency, the published clinical experience on doac use was generally in line with our results, with. hereditary deficiency of antithrombin iii, protein c and protein s: this topic review discusses the diagnosis and management of protein c deficiency (inherited and acquired). Few studies have evaluated the use. Doac Use In Protein C Deficiency.
From proteinbars.com
Protein Deficency Facts Protein Bars Doac Use In Protein C Deficiency Prevalence in patients with a history of. Few studies have evaluated the use of direct oral anticoagulants (doacs) in patients with. in this prospective cohort study, we aimed to evaluate the efficacy and safety of direct oral anticoagulants. hereditary deficiency of antithrombin iii, protein c and protein s: for protein c deficiency, the published clinical experience on. Doac Use In Protein C Deficiency.
From www.captodayonline.com
Measuring direct oral anticoagulants—when, how CAP TODAY Doac Use In Protein C Deficiency Few studies have evaluated the use of direct oral anticoagulants (doacs) in patients with. Prevalence in patients with a history of. hereditary deficiency of antithrombin iii, protein c and protein s: causes of inherited thrombophilia include antithrombin deficiency, deficiencies of proteins c and s, and factor v leiden. for protein c deficiency, the published clinical experience on. Doac Use In Protein C Deficiency.
From scvmcmed.com
Protein C Deficiency and Warfarin Induced Skin Necrosis 11/01/2017 Doac Use In Protein C Deficiency causes of inherited thrombophilia include antithrombin deficiency, deficiencies of proteins c and s, and factor v leiden. Few studies have evaluated the use of direct oral anticoagulants (doacs) in patients with. this topic review discusses the diagnosis and management of protein c deficiency (inherited and acquired). hereditary deficiency of antithrombin iii, protein c and protein s: Prevalence. Doac Use In Protein C Deficiency.
From www.slideserve.com
PPT Thrombophilia Failure of the Inherent Anticoagulation Defense Doac Use In Protein C Deficiency hereditary deficiency of antithrombin iii, protein c and protein s: in this prospective cohort study, we aimed to evaluate the efficacy and safety of direct oral anticoagulants. this topic review discusses the diagnosis and management of protein c deficiency (inherited and acquired). causes of inherited thrombophilia include antithrombin deficiency, deficiencies of proteins c and s, and. Doac Use In Protein C Deficiency.
From www.tldrpharmacy.com
Using Direct Oral Anticoagulants in Special Populations — tl;dr pharmacy Doac Use In Protein C Deficiency this topic review discusses the diagnosis and management of protein c deficiency (inherited and acquired). Few studies have evaluated the use of direct oral anticoagulants (doacs) in patients with. for protein c deficiency, the published clinical experience on doac use was generally in line with our results, with. Prevalence in patients with a history of. hereditary deficiency. Doac Use In Protein C Deficiency.
From meltblogs.com
Signs of protein deficiency. MELTBLOGS Doac Use In Protein C Deficiency Prevalence in patients with a history of. in this prospective cohort study, we aimed to evaluate the efficacy and safety of direct oral anticoagulants. hereditary deficiency of antithrombin iii, protein c and protein s: causes of inherited thrombophilia include antithrombin deficiency, deficiencies of proteins c and s, and factor v leiden. this topic review discusses the. Doac Use In Protein C Deficiency.
From ced.enallt.unam.mx
Ficha coagulation cascade ENALLTerm Doac Use In Protein C Deficiency in this prospective cohort study, we aimed to evaluate the efficacy and safety of direct oral anticoagulants. causes of inherited thrombophilia include antithrombin deficiency, deficiencies of proteins c and s, and factor v leiden. Prevalence in patients with a history of. for protein c deficiency, the published clinical experience on doac use was generally in line with. Doac Use In Protein C Deficiency.
From www.osmosis.org
Protein C deficiency Video, Anatomy & Definition Osmosis Doac Use In Protein C Deficiency causes of inherited thrombophilia include antithrombin deficiency, deficiencies of proteins c and s, and factor v leiden. Prevalence in patients with a history of. this topic review discusses the diagnosis and management of protein c deficiency (inherited and acquired). in this prospective cohort study, we aimed to evaluate the efficacy and safety of direct oral anticoagulants. Web. Doac Use In Protein C Deficiency.
From www.cureus.com
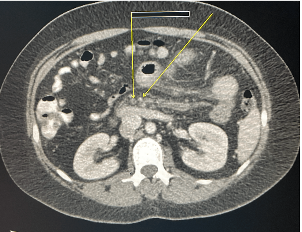
Cureus Acute Portal Vein Thrombosis as an Initial Presentation of Doac Use In Protein C Deficiency for protein c deficiency, the published clinical experience on doac use was generally in line with our results, with. this topic review discusses the diagnosis and management of protein c deficiency (inherited and acquired). in this prospective cohort study, we aimed to evaluate the efficacy and safety of direct oral anticoagulants. Few studies have evaluated the use. Doac Use In Protein C Deficiency.
From www.osmosis.org
Protein C deficiency Video, Anatomy & Definition Osmosis Doac Use In Protein C Deficiency Prevalence in patients with a history of. Few studies have evaluated the use of direct oral anticoagulants (doacs) in patients with. for protein c deficiency, the published clinical experience on doac use was generally in line with our results, with. hereditary deficiency of antithrombin iii, protein c and protein s: in this prospective cohort study, we aimed. Doac Use In Protein C Deficiency.
From www.elpasochiropractorblog.com
Protein Deficiency El Paso's Functional Chiropractic Clinic Doac Use In Protein C Deficiency Prevalence in patients with a history of. causes of inherited thrombophilia include antithrombin deficiency, deficiencies of proteins c and s, and factor v leiden. hereditary deficiency of antithrombin iii, protein c and protein s: Few studies have evaluated the use of direct oral anticoagulants (doacs) in patients with. this topic review discusses the diagnosis and management of. Doac Use In Protein C Deficiency.